بهترین متخصص ایمپلنت
انتخاب بهترین متخصص ایمپلنت، اولین و مهمترین قدم برای بازگرداندن کارایی به دندانهایتان است. اگر به دلیل ترس از جراحی، لبخند زدن را فراموش کردهاید، تکنولوژیهای نوین برای شماست.
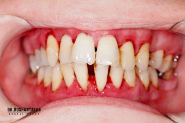
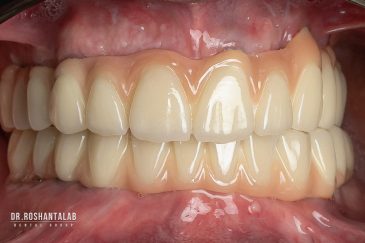
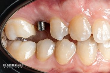
کاشت ایمپلنت دندان بدون درد
تجربه ایمپلنت دیجیتال بدون درد، سریع و ایمپلنت فوری دندان با بهره گیری از جدیدترین تکنولوژی دیجیتال در کلینیک دکتر روشنطلب؛ جایی که آرامش شما اولویت است.
مرکز کاشت دندان دکتر روشنطلب
مرکز تخصصی ایمپلنت دکتر روشن طلب، پیشگام در کاشت ایمپلنت دندان، با افتخار در ۵ شعبه فعال (رشت، تهران، اصفهان و استانبول ترکیه)، کیفیت جهانی را به شما ارائه میدهیم.
مرکز تخصصی ایمپلنت دندان دکتر روشن طلب
کلینیک تخصصی دکتر حسن روشن طلب با همکاری جمعی از متخصص ایمپلنت دندان و جراح فک و صورت بنام در حال فعالیت می باشد. این مجموعه مأموریت خود را ارائه خدمات تکمیلی دندانپزشکی در زمینه درمان های تخصصی و عمومی به شرح ذیل انجام می شود.
🔸 کاشت ایمپلنت دندان بدون درد
🔸کاشت ایمپلنت فلپ لس یا بدون جراحی و بدون بخیه زیر سه دقیقه
🔸 کاشت دندان یک روزه ( کشیدن و کاشت همزمان )
🔸 ایمپلنت دیجیتال و ساخت روکش دیجیتال
🔸جراحی پیشرفته نظیر سینوس لیفت
🔸ایمپلنت دندان با بیهوشی
🔸 و کلیه درمانهای عمومی و تخصصی با بهترین کیفیت قرار داده است.
بهره مندی از دانش علمی و تجربه بالای موسس و جراحان این کلینیک، همچنین امکانات و تجهیزات به روز و کارآمد از جمله ویژگی های منحصر به فرد این کلینیک است. همچنین با ارائه خدمات درمانی با کیفیت و هزینه مناسب دندانپزشکی در رشت، تهران، اصفهان و استانبول ترکیه توانسته است در این سال ها لبخند رضایت بر صورت مراجعه کنندگان عزیزمان بگذارد.
دکتر روشن طلب به همراه تیم دندانپزشکی خود درمان بیماران زیادی را به عهده دارند. بیمارانی که به علل مختلف از جراحی و دندانپزشکی می ترسند زمانی که تحت درمان جراح قرار می گیرند استرس قبل از حضور در مرکز و ناراحتی حین درمان به میزان قابل توجهی کاهش خواهد یافت و بعد از چند جلسه ترس از دندانپزشکی تا حدود زیادی از بین می رود.
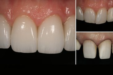
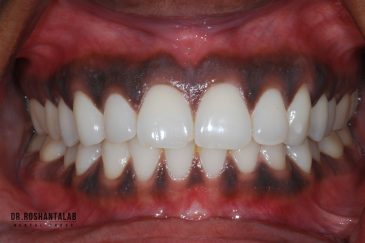
دندانپزشکی زیبایی
طراحی لبخند هالیوودی با متدهای لمینت سرامیکی دندان و کامپوزیت ونیر در کنار اصلاح فرم، خدمات بلیچینگ و روکش دندان، زیبایی چهره شما را تکمیل میکند.ترمیم دندان
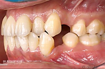
از عصب کشی و درمان ریشه دندان گرفته تا جراحی لثه و کشیدن دندان، تمامی مراحل توسط متخصص ترمیم دندان مدیریت میشود. ارائه باکیفیتترین خدمات ترمیم دندان برای سلامتی شماست.کاشت ایمپلنت فوری دندان
تجربه کاشت دندان دیجیتال و بدون درد در ۳ دقیقه! استفاده از برترین برندها زیر نظر جراح، با هزینه مناسب و خدمات کامل از کاشت دندان تا روکشارتودنسی دندان
برای اصلاح طرح لبخند بدون جلب توجه، از جدیدترین تکنولوژی الاینر و ارتودنسی شفاف استفاده کنید. ما تخصصیترین خدمات ارتودنسی دندان را با قیمت مناسب و شرایط اقساط ویژه ارائه میدهیم.کاشت دندان توسط بهترین متخصص ایمپلنت
ضمانت کیفیت و قیمت در تهران، رشت و استانبول
انتخاب بهترین متخصص ایمپلنت که به تکنیکهای روز دنیا مسلط باشد، تضمینکننده سلامت فک و زیبایی لبخند شماست. در کلینیک دندانپزشکی دکتر روشنطلب، ما با بهرهگیری از تجهیزات دیجیتال در ۵ شعبه فعال (تهران، اصفهان، رشت و استانبول ترکیه)، خدمات تخصصی کاشت ایمپلنت دندان را برای بیمارانی که کیفیت و دقت برایشان اولویت دارد، ارائه میدهیم. در این متد، پروسه درمان با ظرافت بالا انجام شده؛ راهکاری ایدهآل برای کسانی که به دنبال درمان بدون درد با بالاترین نرخ موفقیت هستند.
برای دریافت طرح درمان اختصاصی و اطلاع از هزینههای روز، پیشنهاد میکنیم همین حالا با کارشناسان ما در شعبه مرکزی رشت یا سایر شعب تماس بگیرید.

پیام شما از ایران و جهان
بیماران از گوشه و کنار ایران و سراسر جهان، با وجود مسافتهای طولانی و چالشهای سفر، کلینیک تخصصی دکتر روشنطلب را برای کاشت دندان انتخاب میکنند. آنها به دلیل شهرت جهانی دکتر روشنطلب در ارائه ایمپلنتهای بدون درد با فناوری پیشرفته دیجیتال ICT و نتایج بینقص، راهی تهران، رشت، اصفهان یا حتی استانبول میشوند. برای تماشای این داستانهای الهامبخش، ویدئوها را ببینید!
ایمپلنت بدون درد از نگاه شما
بیماران کلینیک دکتر روشنطلب تجربهای بینظیر از ایمپلنت بدون درد را توصیف میکنند! با بهرهگیری از فناوری پیشرفته تزریق دیجیتال ICT و مهارت بیمانند دکتر روشنطلب، بیماران از راحتی و آرامش در طول درمان سخن میگویند. آنها در ویدئو رضایتشان را از محیط حرفهای و دوستانه کلینیک به اشتراک میگذارند. برای دیدن این تجربههای واقعی و الهامبخش، ویدئو بیماران را تماشا کنید و خودتان تفاوت را احساس کنید!
بهترین دکتر ایمپلنت در رشت، تهران، اصفهان، ترکیه
کلینیک تخصصی دندانپزشکی دکتر روشن طلب یکی از پیشروترین مراکز ارائهدهنده خدمات دندانپزشکی در منطقه است که با پنج شعبه فعال در تهران، رشت، اصفهان و استانبول ترکیه، خدمات با کیفیتی را به بیماران داخلی و بینالمللی ارائه میدهد. این کلینیک به دلیل تخصص و تعهد به ارائه خدمات با کیفیت در محیطی آرام و حرفهای، شهرت جهانی کسب کرده است. با تیمی متشکل از جراحان مجرب و استفاده از تجهیزات پیشرفته و برندهای معتبر، تضمینکننده نتایج ماندگار و رضایتبخش است.
هزینه شفاف، همراه با پشتیبانی کامل بیماران بینالمللی، این کلینیک را به گزینهای ایدهآل برای کسانی تبدیل کرده است که به دنبال درمانهای دندانپزشکی با کیفیت در ایران یا ترکیه هستند. چه در تهران، رشت، اصفهان یا استانبول، کلینیک دکتر روشن طلب با تمرکز بر راحتی بیمار و استفاده از فناوریهای مدرن، لبخندی زیبا و سالم را به شما هدیه میدهد.
































































































































































































































































































































































































































































